A diagnosis of stomach cancer can be deeply concerning, as the stomach plays a central role in digestion and nutrient absorption. Stomach cancer develops when abnormal cells grow uncontrollably in the lining of the stomach, potentially spreading to nearby organs or distant parts of the body if not treated in time.
Alongside conventional approaches, such as stomach cancer surgery, chemotherapy, radiation therapy, and targeted therapy, many patients explore complementary and alternative medicine (CAM) approaches as supportive care to improve strength, immunity, and overall wellbeing during treatment.
Diagnosed with stomach cancer? Dr. Tarang offers personalised, integrative treatment planning grounded in clinical oncology experience.
When patients ask what stomach cancer is, the explanation begins at the cellular level. Stomach cancer, also known as gastric cancer, occurs when cells in the stomach lining develop genetic mutations that cause uncontrolled growth.
Normally, stomach cells grow and regenerate in an organised manner. In stomach cancer, abnormal cells multiply and may form a tumour within the stomach wall. Over time, the cancer can invade deeper layers and spread to lymph nodes or distant organs.
Understanding what happens in stomach cancer helps clarify why early diagnosis and timely stomach cancer treatment are critical.
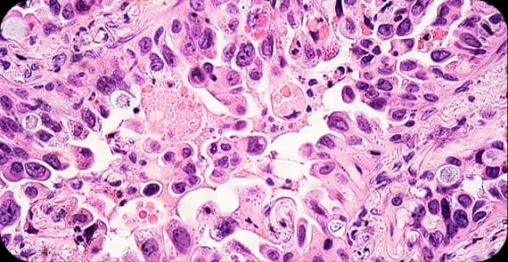
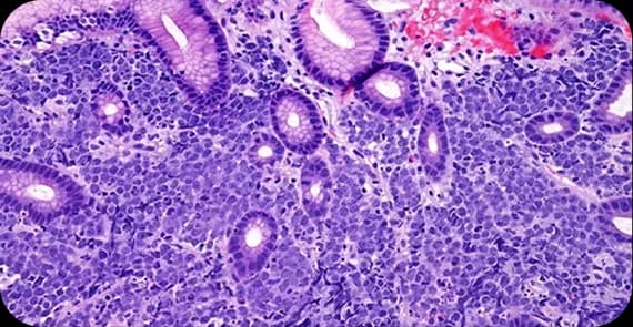
There are different types of stomach cancer depending on the cells from which the tumour arises.
The most common type, originating in the glandular cells of the stomach lining.
Rare tumours that arise from specialised nerve-related cells in the stomach wall.
The disease develops from immune cells present in the stomach lining.
Rare tumours arising from hormone-producing cells in the stomach. Identifying the types of stomach cancer is essential for guiding treatment decisions for stomach cancer.
Stomach cancer symptoms are often subtle in early stages and may resemble common digestive issues.
Common Signs of Stomach Cancer
Persistent indigestion
Abdominal discomfort or pain
Feeling full quickly after eating
Nausea or vomiting
Unexplained weight loss
Fatigue
Blood in vomit or stool
Loss of appetite
Early symptoms of stomach cancer may be mild, which can delay diagnosis. Persistent digestive problems should not be ignored, especially if they worsen over time.
There is no single explanation for stomach cancer causes. The disease usually develops due to a combination of genetic, environmental, and lifestyle factors.
What causes stomach cancer may include:
Chronic infection with Helicobacter pylori
Long-term inflammation of the stomach lining
Diet high in smoked or salted foods
Smoking
Family history of gastric cancer
Certain inherited genetic conditions
The reasons for stomach cancer often involve long-standing irritation or damage to the stomach lining.
Understanding risk factors supports stomach cancer prevention and early monitoring.
Common risk factors include:
Chronic H. pylori infection
Smoking
High-salt diet
Obesity
Family history
Previous stomach surgery
Chronic gastritis
While these factors increase risk, not everyone with risk factors develops stomach cancer.
Stomach cancer stages describe how far the disease has progressed.
Cancer is limited to the inner layers of the stomach.
Spread to deeper layers or nearby lymph nodes.
More extensive lymph node involvement or invasion of nearby tissues.
This stage refers to metastatic stomach cancer, which has spread to distant organs such as the liver or lungs.
Stomach cancer stages are critical in determining whether stomach cancer surgery alone is sufficient or whether additional therapies are required.
Stomach cancer diagnosis involves a combination of endoscopic and imaging evaluations.
The diagnostic process may include:
Upper gastrointestinal endoscopy
Biopsy of suspicious lesions
CT scan or PET scan
Endoscopic ultrasound
Blood tests for overall health assessment
An accurate stomach cancer diagnosis allows for personalised and stage-appropriate treatment planning.
Stomach cancer treatment depends on the stage, tumour location, and patient health status.
Common stomach cancer treatments include:
Stomach cancer surgery to remove part or all of the stomach
Chemotherapy before or after surgery
Radiation therapy in selected cases
Targeted therapy for specific molecular features
Immunotherapy in advanced disease
Many patients require a combination of treatments. Support during chemotherapy is especially important to maintain and immune function.
Alongside conventional stomach cancer treatment, supportive integrative care can improve resilience and quality of life. The Cancer Healer Therapy Program combines complementary and alternative medicine with evidence-based oncology care.
This approach may include:
Immune support during chemotherapy
Stress management and mind-body support
Carefully supervised herbal or traditional medicine components
Personalised therapy planning aligned with standard medical treatment
The aim is to strengthen the body during intensive stomach cancer treatments without replacing evidence-based therapy.
Many patients ask whether stomach cancer is curable. The answer depends largely on the stage at diagnosis.
Stomach cancer is among the common gastrointestinal cancers worldwide. In India, incidence varies by region, with certain dietary and environmental factors contributing to risk.
Early-stage stomach cancer detected before deep invasion may be treated successfully with surgery.
Locally advanced cases often require combined therapy.
Metastatic stomach cancer may not always be curable but can often be managed with systemic therapies.
Early detection plays a major role in improving survival outcomes.
Early symptoms of stomach cancer may include indigestion, abdominal discomfort, and feeling full quickly after meals.

Stay in touch with us to get latest news and special offers.