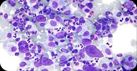
A diagnosis of lymphoma cancer can be overwhelming, as it affects the lymphatic system, which plays a key role in immune function. Lymphoma cancer develops when abnormal lymphocytes, a type of white blood cell, grow uncontrollably and accumulate in lymph nodes or other organs.
Alongside conventional approaches such as chemotherapy, radiation therapy, targeted therapy, immunotherapy, and stem cell transplant, many patients explore complementary and alternative medicine (CAM) approaches as supportive care to improve resilience, immune balance, and overall wellbeing during treatment.
Diagnosed with lymphoma cancer? Dr. Tarang offers personalised, integrative treatment planning grounded in clinical oncology experience.
When patients ask what lymphoma cancer is, the explanation begins with understanding the lymphatic system. Lymphoma cancer is a type of blood cancer that begins in lymphocytes, which are part of the immune system.
What happens in lymphoma cancer is the uncontrolled growth of abnormal lymphocytes that accumulate in lymph nodes, the spleen, bone marrow, or other organs. This may interfere with the body’s ability to fight infections.
Understanding the symptoms of lymphoma cancer and the disease's behaviour helps guide timely diagnosis and treatment planning.
There are many types of lymphoma cancer, broadly divided into two major categories.
Characterised by the presence of Reed-Sternberg cells and often highly treatable.
A diverse group of lymphomas that vary in their aggressiveness. Within these categories, there are multiple subtypes. When patients search for 8 types of lymphoma cancer, common examples include: Diffuse large B-cell lymphoma Follicular lymphoma Mantle cell lymphoma Burkitt lymphoma T-cell lymphoma Anaplastic large cell lymphoma Marginal zone lymphoma Small lymphocytic lymphoma Identifying the exact type is crucial for selecting the most appropriate treatment strategy.
Lymphoma cancer symptoms may vary depending on subtype and stage.
Common Signs and Symptoms of Lymphoma Cancer
Painless swelling of lymph nodes
Persistent fatigue
Fever
Night sweats
Unexplained weight loss
Itching
Shortness of breath if chest nodes are involved
Many patients ask what the symptoms of lymphoma cancer are, because early signs may be mild. Recognising symptoms early supports a timely evaluation.
The exact lymphoma cancer causes are not always clearly defined.
Possible contributing factors may include:
Genetic mutations
Weakened immune system
Certain viral infections
Autoimmune conditions
Prior exposure to radiation
In many cases, the exact cause remains unknown.
Several factors increase the likelihood of developing lymphoma.
Common risk factors include:
Immunosuppression
Family history
Certain infections
Age, depending on subtype
Exposure to certain chemicals
While these factors increase risk, not all individuals with risk factors develop lymphoma.
Lymphoma cancer stages describe the extent of spread within the lymphatic system and beyond.
Cancer is limited to one lymph node region.
Involvement of two or more lymph node regions on the same side of the diaphragm.
Involvement of lymph nodes on both sides of the diaphragm.
Spread to organs such as bone marrow or liver.
Lymphoma cancer stages help guide treatment intensity and prognosis assessment.
Lymphoma cancer diagnosis involves clinical evaluation and tissue confirmation.
The diagnostic process may include:
Physical examination
Lymph node biopsy
Blood tests
CT or PET scan
Bone marrow biopsy
A precise diagnosis allows for subtype identification and personalised lymphoma cancer treatment plans.
Lymphoma cancer treatment depends on subtype, stage, and overall health.
Common lymphoma cancer treatments include:
Chemotherapy: Uses anti-cancer drugs to destroy rapidly dividing cells
Radiation therapy: Uses high-energy beams to target cancer cells
Targeted therapy: Focuses on specific genetic or molecular features of cancer cells
Immunotherapy: Stimulates the immune system to recognise and attack cancer cells
Stem cell transplant: Replaces diseased bone marrow with healthy cells
Treatment plans are tailored according to lymphoma type and aggressiveness.
Complex lymphoma cancer cases need tailored care. Dr. Tarang integrates standard and supportive therapies into personalised plans.
Explore Integrative Cancer Treatment Options
Alongside conventional lymphoma cancer treatment, integrative supportive care may enhance overall wellbeing. The Cancer Healer Therapy Program combines complementary and alternative medicine with evidence-based oncology care.
This approach may include:
Immune system support during chemotherapy
Stress reduction and mind-body techniques
Carefully supervised herbal or traditional medicine components
Personalised therapy planning aligned with medical treatment
The goal is to support patients physically and emotionally throughout treatment.
Many patients ask, 'Is lymphoma cancer curable?' The answer depends on subtype and stage at diagnosis.
Lymphoma is one of the more common blood cancers worldwide. Survival rates vary depending on subtype and response to treatment.
Many forms of Hodgkin lymphoma are highly treatable.
Some non-Hodgkin lymphomas can be managed long-term.
Lymphoma cancer survival rate depends on stage, subtype, and overall health.
Early diagnosis and personalised care significantly improve outcomes.
Lymphoma cancer symptoms may include swollen lymph nodes, fatigue, fever, night sweats, and weight loss.

Stay in touch with us to get latest news and special offers.