A diagnosis of gallbladder cancer can be particularly concerning because it often develops silently and may not produce noticeable symptoms in its early stages. The gallbladder is a small organ located beneath the liver that stores bile, which helps in digestion. Gallbladder cancer develops when abnormal cells grow uncontrollably within the gallbladder lining.
Alongside conventional approaches such as surgery, chemotherapy, radiation therapy, targeted therapy, and immunotherapy, many patients explore complementary and alternative medicine (CAM) approaches as supportive care to improve resilience, immune balance, and overall wellbeing during treatment.
Diagnosed with gallbladder cancer? Dr. Tarang offers personalised, integrative treatment planning grounded in clinical oncology experience.
When patients ask what gallbladder cancer is, the explanation begins at the cellular level. Gallbladder cancer occurs when cells in the inner lining of the gallbladder develop genetic mutations that cause uncontrolled growth.
In many cases, chronic inflammation of the gallbladder may contribute to these cellular changes. What happens in gallbladder cancer is a gradual transformation of normal cells into malignant cells that may invade the liver or nearby structures if left untreated.
Because early disease often produces few symptoms, timely evaluation is critical.
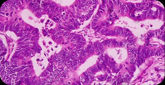
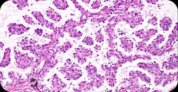
There are different types of gallbladder cancer depending on the cell origin.
The most common type, arising from glandular cells lining the gallbladder.
A subtype that may grow more slowly compared to other forms.
A rare form arising from squamous cells in the gallbladder.
These may include neuroendocrine tumours or sarcomas.
Gallbladder cancer symptoms are often vague and may resemble common gallbladder conditions.
Common Signs and Symptoms of Gallbladder Cancer
Abdominal pain, especially in the upper right side
Nausea and vomiting
Jaundice, which causes yellowing of the skin and eyes
Unexplained weight loss
Fever
Abdominal bloating
Lump in the abdomen
Gallbladder cancer early symptoms may be mild or mistaken for gallstones. Recognising the symptoms of gallbladder cancer and seeking timely medical advice can improve outcomes.
The exact gallbladder cancer causes are not always clear. The disease often develops over time due to chronic irritation or inflammation.
Gallbladder cancer reasons may include:
Long-standing gallstones
Chronic gallbladder inflammation
Gallbladder polyps
Bile duct abnormalities
Genetic susceptibility
Understanding what causes gallbladder cancer helps in identifying individuals at higher risk.
Several factors that increase the likelihood of developing gallbladder cancer contribute to the disease.
Common risk factors include:
Gallstones
Chronic cholecystitis
Female gender
Age over 60
Obesity
Family history
Certain infections
Although these factors increase risk, not everyone with gallstones develops cancer.
Gallbladder cancer staging describes how far the cancer has spread.
Cancer confined to the inner layers of the gallbladder.
The tumour has grown into deeper layers of the gallbladder wall.
Spread to nearby organs such as the liver or regional lymph nodes.
Advanced disease with distant metastasis.
Gallbladder cancer staging has an important impact on identifying appropriate gallbladder cancer treatment.
Gallbladder cancer diagnosis often involves imaging and biopsy confirmation.
The diagnostic process may include:
Ultrasound examination
CT scan or MRI
Endoscopic procedures
Biopsy of suspicious tissue
Blood tests, including liver function tests
Accurate diagnosis allows for stage-specific and personalised treatment plans.
Gallbladder cancer treatment depends on stage, tumour location, and overall health.
Common gallbladder cancer treatments include:
Surgery: Removes the gallbladder and possibly part of the liver or nearby lymph nodes
Chemotherapy: Uses anti-cancer drugs to destroy rapidly dividing cells
Radiation therapy: Uses high-energy beams to target cancer cells
Targeted therapy: Focuses on specific genetic or molecular features of cancer cells
Immunotherapy: Stimulates the immune system to recognise and attack cancer cells
Early-stage disease may be treated effectively with surgery, while advanced stages often require combined therapies.
Complex gallbladder cancer cases need tailored care. Dr. Tarang integrates standard and supportive therapies into personalised plans.
Explore Integrative Cancer Treatment Options
Alongside conventional gallbladder cancer treatment, integrative supportive care may enhance overall wellbeing. The Cancer Healer Therapy Program combines complementary and alternative medicine with evidence-based oncology care.
This approach may include:
Immune support during chemotherapy or immunotherapy
Stress reduction and breathing-focused mind-body practices
Carefully supervised herbal or traditional medicine components
Personalised therapy planning aligned with standard treatment
The goal is to strengthen the body during treatment without replacing evidence-based therapy.
Many patients ask why gallbladder cancer is so deadly. One reason is that early-stage disease often causes minimal symptoms and may be diagnosed late.
Gallbladder cancer is less common than other gastrointestinal cancers but tends to have a poorer prognosis due to late detection.
Early-stage gallbladder cancer detected incidentally during gallbladder surgery may be curable.
Locally advanced disease requires combined therapies.
Metastatic gallbladder cancer may require long-term systemic treatment strategies.
Early detection significantly improves outcomes.
Gallbladder cancer symptoms may include abdominal pain, jaundice, nausea, and unexplained weight loss.

Stay in touch with us to get latest news and special offers.