A diagnosis of cervical cancer can be deeply concerning, particularly because it affects the cervix, the lower part of the uterus that connects to the vagina. Cervical cancer develops gradually, often beginning with precancerous changes before progressing into invasive disease if not detected early.
Alongside standard medical treatments such as surgery, radiation therapy, and chemotherapy, many patients explore complementary and alternative medicine (CAM) approaches as supportive care to enhance immunity, resilience, and overall wellbeing during treatment.
Diagnosed with cervical cancer? Dr. Tarang offers personalised, integrative treatment planning grounded in clinical oncology experience.
When patients ask what cervical cancer is, the explanation begins with abnormal cellular changes in the cervix. Cervical cancer occurs when healthy cervical cells undergo genetic mutations that cause uncontrolled growth.
In many cases, persistent infection with high-risk strains of the human papillomavirus (HPV) plays a major role. Over time, abnormal cells may develop into precancerous lesions and eventually invasive cancer if not treated.
What happens in cervical cancer is a gradual transformation of normal cervical cells into malignant cells that may invade nearby tissues and, in advanced stages, spread to distant organs.
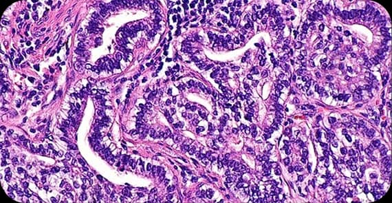
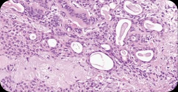
Cervical cancer is not a single disease. There are different types of cervical cancer based on the cells involved.
The most common type, arising from the thin, flat cells lining the outer cervix.
Develops from glandular cells that produce mucus in the cervical canal.
Contains features of both squamous and glandular cancers. Understanding the types of cervical cancer helps determine prognosis and appropriate treatment strategies.
Cervical cancer symptoms may not appear in early stages. As the disease progresses, noticeable signs may develop.
Common Signs and Symptoms of Cervical Cancer
Abnormal vaginal bleeding between periods
Bleeding after intercourse
Postmenopausal bleeding
Unusual vaginal discharge
Pelvic pain
Pain during intercourse
Early signs of cervical cancer are often subtle, which is why regular screening is essential for early detection.
If any abnormal bleeding or persistent pelvic discomfort occurs, medical evaluation is strongly recommended.
The primary cause of cervical cancer is persistent infection with high-risk HPV strains. However, not all HPV infections lead to cancer.
Other contributing causes of cervical cancer may include:
Weakened immune system
Smoking
Long-term use of oral contraceptives
Early sexual activity
Multiple sexual partners
In most cases, cervical cancer develops gradually over several years following persistent viral infection.
Understanding risk factors for cervical cancer can support prevention and early intervention.
Common risk factors include:
Persistent high-risk HPV infection
Smoking
Weakened immunity
Multiple full-term pregnancies
Long-term oral contraceptive use
Lack of regular cervical screening
Cervical cancer prevention strategies include HPV vaccination, safe practices, and regular Pap smear screening.
Cervical cancer stages describe how far the disease has progressed.
This stage refers to cancer that is limited to the cervix.
Cancer has spread beyond the cervix but not to the pelvic wall or lower vagina.
Spread to the pelvic wall or lower third of the vagina, possibly affecting kidney function.
Cancer has spread to nearby organs, such as the bladder or rectum, or to distant organs.
Accurate staging is essential for determining cervical cancer treatment options and prognosis.
Cervical cancer diagnosis involves screening and confirmatory tests.
The diagnostic process may include:
Pap smear screening
HPV testing
Colposcopy
Cervical biopsy
Imaging studies such as CT, MRI, or PET scans
Blood tests for overall health assessment
Early and accurate diagnosis significantly improves treatment outcomes.
Cervical cancer treatment depends on stage, tumour size, and overall patient health.
Common treatment options include:
Surgery: Removal of cancerous tissue or hysterectomy
Radiation therapy: Often combined with chemotherapy
Chemotherapy: Used alongside radiation or for advanced disease
Targeted therapy: In selected advanced cases
Immunotherapy: Used in certain metastatic or recurrent cases
Many patients require a combination of therapies. Support during chemotherapy and radiation is important to maintain energy, immunity, and overall wellbeing.
Alongside conventional cervical cancer treatment, structured supportive care can play an important role. The Cancer Healer Therapy Program integrates complementary and alternative medicine with standard oncology care.
This approach may include:
Immune system support during chemotherapy
Stress management and emotional resilience support
Mind-body techniques
Carefully supervised herbal or traditional medicine components
Personalised therapy planning
The goal is to support the body during intensive treatment while maintaining its quality of life, without replacing evidence-based medical therapy.
Many patients ask whether cervical cancer is curable. The answer depends largely on the stage at diagnosis.
In India, cervical cancer is one of the most common cancers among women. However, widespread screening and vaccination programmes have significantly reduced incidence in many regions globally.
Early-stage cervical cancer is often highly treatable and potentially curable.
Locally advanced disease may require combined radiation and chemotherapy.
Advanced or metastatic cervical cancer may be managed long-term but may not always be completely curable.
Early detection through screening remains one of the most effective strategies for improving survival.
Early signs may include abnormal vaginal bleeding, unusual discharge, or pelvic discomfort.

Stay informed with the latest in integrative cancer care, wellness tips, and program updates.